This post is also available in: English (영어)
ClariCT.AI
ClariCT.AI 는 소음 감소 기술을 사용하는 회사의 인공 지능 딥 러닝 기술입니다. FDA 승인 및 CE 마크를 획득하여 초 저용량에서도 CT 이미지 선명도를 크게 향상시킵니다. 저선량 및 초 저선량 DICOM CT 이미지의 노이즈를 줄이고 이미지 선명도를 높이기 위해 벤더에 구애받지 않는 방식으로 작동하도록 훈련 된 심층 컨볼 루션 신경망을 사용합니다. 다른 신체 부위에 대한 다양한 정도의 노이즈를 포함하는 백만 개 이상의 환자 이미지로 훈련 된 Clarity Engine은 이미지 노이즈를 선택적으로 분리하는 동시에 기본 구조를 향상시킵니다. 따라서 선명도 복원 이미지를 제공합니다.
ClariCT.AI 의 전례없는 이미지 선명도
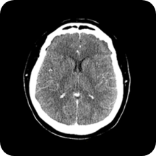
노이즈 제거 전후
전 후










ClariCT.AI 혜택
AI 기반 이미지 선명도
- 사용자 정의 및 확장 가능한 선명도 설정을 통해 사용자는 감소 된 선량 설정에서 이미지 선명도를 유지할 수 있습니다.
- Al 지원 이미지 선명도는 사용자가 정량 및 정성 분석에서 일관된 결정을 내리는 데 도움이됩니다.
- 향상된 이미지 선명도를 통해 사용자는 이미지 품질과 방사선 량 간의 균형을 최적화 할 수 있습니다.
제품 통합 및 사용자 편의성
- DICOM 표준과 완벽하게 호환 : 모든 CT 스캐너 및 PACS 시스템과 호환됩니다.
- 완전 자동화 된 작동.
- 빠른 처리 속도로 워크 플로가 간소화됩니다.
- 데스크탑 PC에 간단하고 편리한 설치.
진단 신뢰도 향상 *
- 특허받은 Deep Learning Clarity Engine은 자연스러운 이미지 질감을 유지하면서 양자 노이즈를 제거하여 향상된 이미지 선명도와 함께 편안한 관찰을 제공합니다.
- 표준 선량 설정에 상응하는 향상된 이미지 선명도는 독자의 진단 신뢰도를 높입니다 (* 160 CT 세트에 대해 2 명의 보드 인증 방사선 전문의의 주관적 평가 기준).
- 사용자가 저선량 CT 영상에서 모범 사례를 달성하도록 지원합니다.
운영 비용 절감
- 기존 CT 스캐너를 변경할 필요가 없습니다.
간편하고 스마트한 워크 플로우
실시간으로 수행되는 ClariCT.AI의 임상 워크 플로우는 간단하고 포괄적입니다. 데스크톱 PC에서 실행되는 독립 실행 형 솔루션이거나 CT 기계 및 PACS 시스템과 같은 다양한 방식에 내장 될 수 있습니다. 당사의 기술은 클라우드 기반 배포 및 배포도 지원합니다.
클라리파이는 CT 이미징 센터, 병원 / 클리닉, 방사선 전문의, PACS 회사, 중고 CT 딜러 및 CT 제조업체를 적극적으로 찾고 있습니다.












































